歯科用レーザー治療とは、レーザー光を用いて虫歯や歯周病の原因となる組織を精密に処置する、身体への負担が少ない歯科治療法です。 ドリルの「キーン」という音や振動がほとんどなく、 痛みや出血を抑えられるため、歯科治療が苦手な方にも適しています。 酒井歯科医院では、歯を削ることが認可されたEr:YAG(エルビウムヤグ)レーザーと軟組織に適した半導体レーザーを使い分け、 虫歯・歯周病・口内炎・歯ぐきの黒ずみなど幅広い治療に対応しています。
「キーン」という音のない、優しい治療
「歯を削る、あの『キーン』というドリルの音や振動が、どうしても苦手…」
「治療後の痛みや腫れが、できるだけ少ない方がいい…」
歯科治療に対して、多くの方が抱えるこうした不安やストレス。それを、先進のテクノロジーで少しでも和らげたい。そんな想いから、当院では「歯科用レーザー」を様々な治療に活用しています。

この記事では、当院が導入する「Er:YAG(エルビウムヤグ)レーザー」が、いかにしてあなたの治療をより快適で身体に優しいものに変えるのか、その秘密について詳しく解説していきます。
当院が導入する「Er:YAG(エルビウムヤグ)レーザー」とは?
レーザーには様々な種類がありますが、当院が採用している「Er:YAGレーザー」は、数ある歯科用レーザーの中で唯一、歯を削ることが認可されている非常に優れたレーザーです。
その仕組みは、レーザー光を照射することで組織に含まれる「水分」を一瞬で蒸発させる(蒸散させる)というもの。例えるなら、水分の多い病的な組織だけをピンポイントで蒸発させて取り除く、非常に精密なメスのようなものです。この特性が、従来の治療にはない多くのメリットを生み出します。
① 痛みが少ない(麻酔の使用を最小限に)
レーザーは、神経を過度に刺激することなく優しい光で組織に作用します。そのため、多くの場合、麻酔注射を使わずに、あるいは、ごく少量の麻酔で快適に治療を進めることができます。
② 出血がほとんどない
レーザーは、組織を蒸散させると同時に周りの毛細血管を瞬時に凝固させる働きがあります。これにより、外科的な処置でも出血を最小限に抑えることができ、患者さんの身体的な負担を大きく軽減します。
③ 治りが早く、そして綺麗
レーザー治療を行った部分は、治癒を促進する細胞が活性化されるため、治療後の痛みや腫れが少なく傷跡もきれいに治りやすいという大きなメリットがあります。
④ 高い殺菌効果で、再発を防ぐ
レーザー光には、虫歯菌や歯周病菌を強力に殺菌・無力化する効果があります。治療と同時に患部をクリーンな状態にすることで、治療後の感染リスクや病気の再発リスクを低く抑えることができます。
もう一つの専門レーザー:「半導体レーザー」(軟組織用)
当院には、Er:YAGレーザーとは別に、もう一つ特定の分野で絶大な効果を発揮する専門のレーザーがあります。それが歯ぐきなどの「軟組織」の処置に特化した「半導体レーザー」です。
その最大の特徴は、メスのように歯ぐきを切開できるにも関わらず、レーザーの熱凝固作用によって出血がほとんどない点です。この特性を活かし、歯周病治療での歯周ポケット殺菌、歯の根の治療(根管治療)の消毒、歯ぐきの黒ずみ除去、口内炎の痛みの緩和など、主に「歯ぐき」や「粘膜」といった軟組織に関わる非常に幅広い治療で活躍します。
メスを使わないため治療後の痛みや腫れが少なく傷の治りが非常に早い。半導体レーザーもまた、患者さんの身体的な負担を大きく軽減してくれる非常に優しい治療法です。

2つのレーザーによる具体的な治療例
当院では、このEr:YAGレーザーや半導体レーザーを以下のような様々な治療に応用しています。
① 虫歯の治療(特に初期の虫歯やお子様の治療に)
水分を多く含んだ柔らかい虫歯の部分だけをピンポイントで蒸散させて取り除くことができます。従来のドリルのように健康な部分までを大きく削り取る必要がなく、まさに、当院が掲げる「MI(ミニマルインターベンション)」の理念を体現する治療法です。「キーン」という不快な音や振動もないため歯医者さんが苦手なお子さんの治療にも非常に有効です。

② 歯周病治療(歯周ポケットの殺菌)
歯周ポケットの奥深くにレーザー光を照射することで、歯周病の原因となる細菌を強力に殺菌・除去します。歯ぐきの炎症を抑え、腫れや出血を改善し健康な状態へと導きます。外科的な処置に比べて患者さんの身体的な負担が少ないのが特徴です。
③ 口内炎・口角炎の痛みの緩和
痛みの強い口内炎の表面にレーザーを照射すると、表面に薄い膜が作られ刺激から患部を保護するため、その場で劇的に痛みが和らぎます。また、治癒を早める効果も期待でき繰り返し口内炎ができる方に大変喜ばれています。

④ 歯ぐきの黒ずみ(メラニン色素)の除去
メラニン色素の沈着によって歯ぐきが黒ずんでしまっている場合、微量の麻酔はいたしますが、レーザーを照射することで安全にメラニン色素を除去することができます。数週間後には、血色の良い健康的なピンク色の歯ぐきが再生します。

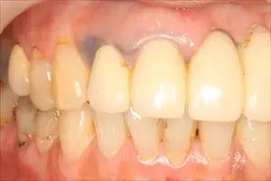
実際の例


「怖い」を「快適」に。新しい歯科治療の選択肢
もちろん、全ての治療がレーザーだけで完結するわけではありません。ですが、レーザー治療という選択肢があることで、これまで「痛い」「怖い」というイメージが強かった歯科治療をより快適でより身体に優しいものに変えることができるのは間違いがないようです。
ご自身の症状がレーザー治療の対象となるかどうか・・・ご興味のある方は、私たちにご相談ください。
【合わせてお読み下さい】
執筆・監修歯科医
歯を削らない
という選択肢
理事長・院長
酒井直樹
SAKAI NAOKI
経歴
- 1980年 福島県立磐城高等学校卒業
- 1988年 東北大学歯学部卒業
- 1993年 酒井歯科医院開院
- 2020年 医療法人SDC設立 理事長就任
所属学会・勉強会
- 日本臨床歯科CADCAM学会
- 日本顎咬合学会
- 日本口育協会
- 日本歯科医師会
- 日本歯周内科学研究会
- ドライマウス研究会
